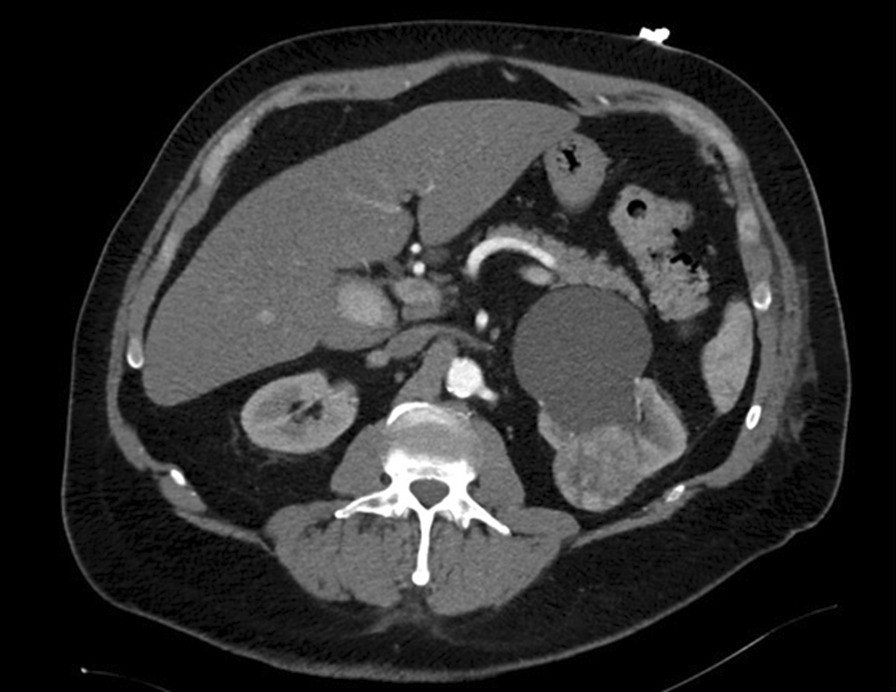
Fig. 2From: Acute myocardial infarction and arterial embolism in a patient with newly diagnosed renal mass: management dilemmas! A case reportAbdominal CT scan showing a renal tumor of the left side with adjacent renal cystBack to article page